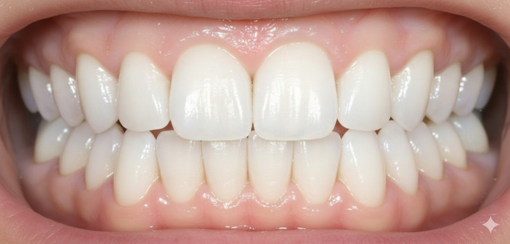
Straightening Teeth For a Confident Smile
Best Orthodontist in Lagos
At Tru-Hill Dental, located in lagos, we believe everyone deserves a smile that radiates confidence. Our Orthodontics department specializes in correcting misaligned teeth and jaw irregularities for patients of all ages, from children to adults. Whether you are dealing with crowding, gaps, or complex bite issues like overbites and underbites, our expert team provides personalized solutions tailored to your unique facial structure.
We utilize the latest in dental technology to make your journey to a straighter smile faster and more comfortable. Our options include:
Traditional Metal Braces: Durable and highly effective for complex adjustments.
Ceramic Braces: Clear or tooth-colored brackets for a more discreet appearance.
Clear Aligners: Removable, nearly invisible trays perfect for a flexible lifestyle.
Don’t let crooked teeth hold you back any longer. Let Tru-Hill Dental help you achieve the functional, beautiful smile you’ve always wanted.
Types of Orthodontics Treatment Available
Clear Aligners
Traditional Metal Braces
Invisalign
Orthodontic Treatment Before and After



